Distinguishing Cardiac Amyloidosis and Hypertrophic Cardiomyopathy by Thickness and Myocardial Deformation of the Right Ventricl
<i>Objectives</i>. To compare right ventricular thickness (RVT) and deformation of cardiac amyloidosis (CA) and hypertrophic cardiomyopathy (HCM) patients. <i>Methods</i>. Sixty CA (mean age 58 ± 10 years; 33 males (55%)) and sixty HCM patients (mean
www.hindawi.com
우심실의 두께와 심근변형에 따른 심장아밀로이드증과 비후성심근병증의 구별
목표 . 심장 아밀로이드증(CA) 및 비대성 심근병증(HCM) 환자의 우심실 두께(RVT)와 변형을 비교합니다. 방법 . 60명의 CA(평균 연령 58 ± 10세, 남성 33명(55%))와 60명의 HCM 환자(평균 연령 55 ± 14세, 남성 27명(45%))가 후향적으로 등록되었습니다. RVT, 전역 라디칼 피크 변형률(GRPS), 전역 세로 피크 변형률(GLPS) 및 전역 원주 피크 변형률(GCPS)을 분석했습니다. CA와 HCM을 구별하기 위한 RVT 및 RV 변형 매개변수의 컷오프 값을 결정하기 위해 수신기 작동 특성 곡선(AUC) 아래 영역을 분석했습니다. 결과 . CA 환자의 RVT는 HCM 환자의 RVT보다 유의하게 두꺼웠습니다(7.8 ± 2.1 vs 5.9 ± 1.3, < 0.001). 또한 RV-GRPS(12.1 ± 6.9 대 23.5 ± 12.1, < 0.001), RV-GCPS(-3.4 ± 2.2 대 −5.6 ± 3.5, < 0.001) 및 RV-GLPS(-4.6 ± 2.3 대 −11.1)가 크게 감소했습니다. ± 4.9, < 0.001)은 HCM 환자와 비교하여 CA 환자에서 관찰되었습니다. RVT 및 RV 계통은 CA와 HCM을 구별하는 데 있어 비슷한 진단 정확도를 보여줍니다. 특히 RVT와 결합된 RV-GLPS는 CA와 HCM을 구별하는 데 가장 좋은 성능을 보였습니다(AUC = 0.92, 95% CI: 0.85~0.96, = 0.0001). 결론 . CA 환자의 우심실 심근 두께와 변형은 HCM 환자보다 더 심했습니다. RVT와 결합된 RV-GLPS는 CA와 HCM을 구별하는 데 탁월한 진단 성능을 제공합니다.
1. 소개
심장 아밀로이드증(CA)은 심장 전체의 심근 내 세포외 아밀로이드 침착의 존재로 정의되며, 이는 이완 장애 및 심실 탄력성 상실로 인해 심실벽이 두꺼워지는 현상입니다[ 1 1 . 아밀로이드 침착으로 인한 심실 비대 때문에 CA는 종종 심근벽 비후와 근세포 비대라는 주요 거시적 특성을 갖는 비후성 심근병증(HCM)으로 잘못 진단되었습니다[2 , 3 ] . 임상적으로 CA와 HCM의 구별은 다양한 치료 옵션과 장기 예후의 차이로 인해 매우 중요합니다.
중요한 감별 진단 지표로서 좌심실(LV)의 구조와 기능이 확인되었으며 어느 정도 CA와 HCM을 구별하는 것으로 나타났습니다[ 4 – 6 ]. 우심실 두께(RVT)는 CA에 광범위하게 관여하지만 HCM에서는 덜 관여하지만[ 7 ], RVT와 RV 변형의 차이는 과소평가되었습니다. 높은 공간 해상도와 어려운 음향 창으로 인해 심혈관 자기 공명(CMR) 영상은 이제 RV 형태학 연구를 위한 최적의 표준 기술로 간주됩니다. 더욱이, 심장 근육 운동과 좌심실 및 우심실 변형을 모두 측정할 수 있는 CMR 조직 추적(TT) 기술이 박출률(EF)보다 더 민감한 지표로 등장했습니다[ 8 – 12 ] . 따라서 본 연구의 목적은 다음과 같습니다: (1) CA와 HCM 환자 사이의 CMR-TT 기술에서 파생된 RV 두께(RVT)와 RV 변형 매개변수를 평가하고 비교하고 (2) 가장 가치 있는 RV를 추가로 식별하는 것입니다. CA와 HCM을 구별하기 위한 매개변수입니다.
2. 방법
2.1. 연구 인구이 연구는 기관 검토 위원회의 승인을 받았습니다. 우리는 2015년부터 2019년까지 CA 환자 63명(평균 연령 58 ± 11세, 범위 25~81세, 남성 35명[56%])을 후향적으로 연구했습니다. 모든 환자는 경쇄 아밀로이드증으로 진단되었습니다. 경쇄 아밀로이드증의 진단은 전형적인 콩고적색 복굴절의 입증, 혈청이나 소변의 단클론 단백질 및/또는 혈장 세포의 단클론 집단의 검출과 함께 피하 지방 또는 관련 기관의 생검을 기반으로 이루어졌습니다. 골수 [ 13 ]. 또한 CA의 진단 기준은 제10차 아밀로이드 및 아밀로이드증에 관한 국제 심포지엄의 합의 의견에 기초했습니다: 심초음파 또는 심혈관 자기공명영상에서 확인된 바와 같이 다른 알려진 원인 없이 좌심실 벽 두께 >12 mm . 골수 외에 생검을 위한 조직 검체는 신장( n = 13, 22%), 간( n = 1, 2%), 지방( n = 3, 5%)에서 채취하였다. 제외 기준에는 (1) 선천성 심장 질환( n = 0); (2) 관상동맥질환( n =1); (3) 심한 부정맥( n = 1); (4) 품질이 낮은 CMR 이미지( n = 1). 마지막으로 60명의 CA 환자(평균 연령 58 ± 10세, 범위 25~81세, 남성 33명[55%])가 등록되었습니다.
HCM 환자 60명(평균 연령: 56세, 범위: 18~83세, 남성 27명[45%])을 추가로 포함했습니다. HCM 환자의 진단 기준은 유럽 심장학회의 지침을 기반으로 했습니다[ 15 ]. 우리 연구에 등록된 모든 HCM 환자는 비폐쇄성 비대성 심근병증을 가지고 있었으며 이는 비후성 심근의 세그먼트에 따라 다음 범주로 나눌 수 있습니다: (1) 심실 중격 비대증(n = 39), (2) 전외측벽 비대증 ( n = 11) ), (3) 후벽 비대증( n = 4) 및 (4) 미만성 좌심실 비대증( n = 6). 모든 환자는 LV 세그먼트의 최대 두께 측면에서 CA 환자와 일치했습니다. 연령이 일치하는 총 30명의 건강한 지원자(평균 연령: 56세, 범위: 24~80세, 남성 17명[57%])가 정상 대조군으로 등록되었습니다. 정상 대조군의 포함 기준에는 고혈압 없음(혈압 <140/90mmHg), 정상 12유도 심전도(ECG), 심혈관 질환이나 당뇨병의 병력이나 증상이 포함되지 않았습니다. 모든 환자와 정상 대조군은 형태학적 및 변형 분석을 위해 CMR 영상을 촬영했습니다.
2.2. CMR 이미징 프로토콜CMR은 숨을 참는 동안 18요소 신체 위상 배열 코일과 ECG 트리거 장치를 갖춘 3.0T 전신 스캐너(Magnetom Tim Trio, Siemens Healthineers, Erlangen, Germany)를 사용하여 수행되었습니다. 정상 상태 자유 세차 시퀀스를 수행하여 승모판 수준에서 정점까지 좌심실을 덮는 연속 단축 영화를 8개 슬라이스(TR/TE 37.66ms/1.2ms, 플립 각도 39°, FOV 280mm × 373mm)로 획득했습니다. , 매트릭스 크기 146mm × 280mm, 슬라이스 두께 8mm), 2챔버 장축 및 4챔버 영화 시리즈는 동일한 시퀀스를 사용하여 획득되었습니다.
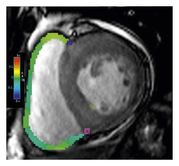
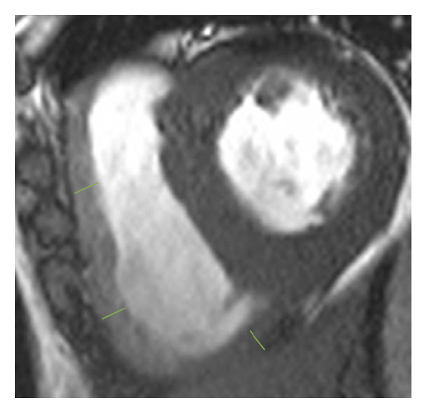
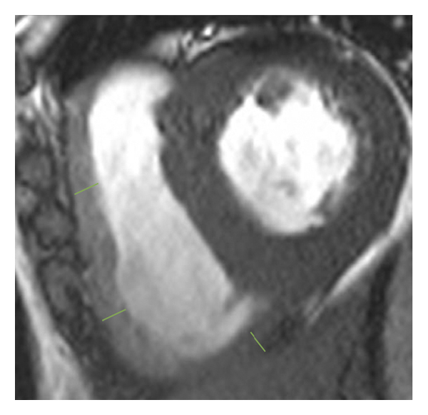
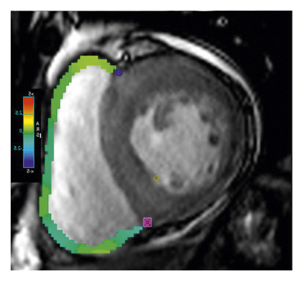
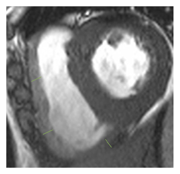
2.3. 이미징 분석모든 이미지 분석은 시중에서 판매되는 소프트웨어(cvi42, Circle Cardiovasic Imaging, Inc. Calgary, Canada)를 사용하여 수행되었습니다. 심장 기능을 측정하기 위해 심장내막 및 심외막 추적을 확장기 말기 및 수축기 말기의 직렬 단축 슬라이스에서 수동으로 수행했습니다. LV/RV 확장기말 용량(EDV), 수축기말 용량(ESV) 및 LV/RV 박출률을 포함한 전체 LV/RV 수축기 기능이 계산되었습니다. LV 및 RV 심근 스트레인 분석은 장축 4챔버 및 단축 슬라이스를 조직 추적 모듈에 로드하여 수행되었습니다(그림 1 (a) 및 1 (b)). RVT는 중실의 3회 측정하였고, 평균 두께를 계산하였다(도 1 (c) 및 1 (d)). GRPS(글로벌 라디칼 피크 변형), GLPS(글로벌 세로 피크 변형) 및 GCPS(글로벌 원주 피크 얼룩)를 포함하여 전역 특징 추적 매개변수가 자동으로 획득되었습니다. 최고 수축기 변형률(PSSR, 이완기부터 다음 수축기까지의 모든 단계에 대한 절대값의 최대 변형률)과 최고 확장기 변형률(PDSR, 수축기부터 다음 수축기까지 모든 단계에 대한 절대값의 최대 변형률)은 다음과 같습니다. 또한 분석했다. 양수 기호와 음수 기호는 서로 다른 동작 방향을 나타냅니다. 앞서 기술한 바와 같이[ 16 ], 정상적인 RVT 값은 7mm 이하로 정의되었다. 기준에 따라 CA 및 HCM 환자를 RV 비대(RVT >7 mm) 또는 RV 비대(RVT ≥7 mm) 환자에 따라 하위 그룹으로 나누었습니다.
-

(ㅏ) -

(비) -

(씨) -

(디)
CA 및 HCM 환자의 경우 CMR 검사 후 2주 이내에 혈액을 채취하여 미오글로빈, 크레아틴 키나아제 동종효소, N 말단 전뇌 나트륨 이뇨 펩타이드(NT-proBNP), 심장 트로포닌 T, 트리글리세리드(TG) 및 콜레스테롤을 측정 했습니다 . (CHOL) 수준.
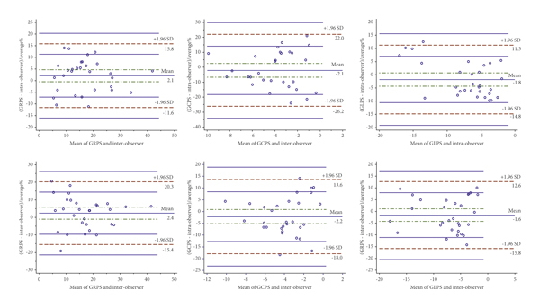
2.5. 재현성 분석우리 코호트에서 CMR에 의한 RV 기능 평가의 재현성과 신뢰성을 검증하기 위해 무작위로 선택된 CA 환자 15명과 무작위로 선택된 HCM 환자 15명의 RV 변형 매개변수 측정에 대해 관찰자 내 및 관찰자 간 변동성을 계산했습니다. 관찰자 내 변동성의 경우 매개변수는 연속 평가 사이에 최소 2주 간격으로 동일한 관찰자가 두 번 측정했습니다. 관찰자 간 변동성은 다른 모든 분석에 대해 눈이 먼 두 번째 독립적 관찰자가 얻은 측정값을 사용하여 평가되었습니다. 이 값은 평균 ± 표준 편차(SD)로 표시됩니다.
2.6. 통계분석모든 통계 분석은 상업적으로 이용 가능한 소프트웨어 패키지(Windows용 SPSS, 버전 25.0, SPSS Inc., Chicago, IL; GraphPad, 버전 7.00, GraphPad Software, Inc., La Jolla, CA, USA 및 MedCalc, 버전 9.3)를 사용하여 수행되었습니다. .0.0., MedCalc 소프트웨어, 벨기에 마리아케르케). 모든 데이터는 Kolmogorov-Smirnov 테스트를 사용하여 정규 분포에 대해 평가되었습니다. Levene의 테스트를 사용하여 분산의 균질성을 평가했습니다. 결과는 평균 ± 표준 편차(SD) 또는 중앙값(사분위간 범위[IQR], 25%~75%)으로 표시됩니다. 하위 그룹의 기준선 및 변형률 매개변수를 평가하기 위해 독립적인 샘플 t 테스트와 Mann-Whitney U 테스트를 사용했습니다. 벽 두께가 증가한 환자에서 CA 진단을 위한 다양한 RV 매개변수의 컷오프 값을 결정하기 위해 수신기 작동 특성 곡선을 구성하고 Youden 지수를 사용했습니다. Delong et al.이 설명한 방법론을 기반으로 다중 수신기 작동 특성 곡선을 비교했습니다. 차동 진단 능력을 결정하기 위해 [ 17 ]. RV 변형 매개변수에 대한 관찰자 간 및 관찰자 내 변동성은 Bland-Altman 방법을 사용하여 CA( n = 15) 및 HCM( n = 15) 환자 30명에서 평가되었으며 그 결과는 백분율 평균 편향 ± SD 및 95로 표시되었습니다. % 신뢰 구간(CI). 0.05 미만 의 양면 값은 모든 테스트에서 통계적으로 유의미한 것으로 간주되었습니다.
3. 결과
3.1. 기준 특성기본 특성과 바이오마커는 표 1 에 나와 있습니다 . CA 환자 60명 중 3명(7%)은 고혈압을, 2명(7%)은 당뇨병을 앓고 있었다. HCM 환자 60명 중 2명(3%)은 고혈압을, 2명(3%)은 당뇨병을 앓고 있었습니다. CA 환자는 HCM 환자보다 수축기 혈압이 낮았습니다(113 ± 18 대 122 ± 15, = 0.036). 실험실 테스트에 따르면 CA 환자는 미오글로빈(50.96(34.46–80.04) 대 31.93(25.04–45.55), = 0.005), NT-proBNP(5803.5(2533–13969) 대 1513(656–3516), = 0.001) 상당히 높은 것으로 나타났습니다. ) 및 HCM 환자보다 트로포닌 T (91.9 (53.85–223.45) 대 17.3 (11.9–45.3), = 0.001). CA와 HCM 그룹 간에 크레아틴 키나아제 동종효소, TG 및 CHOL의 차이는 발견되지 않았습니다.
3.2. CA 및 HCM 환자의 심근 변형 분석환자와 정상 대조군의 RV 심근 기능 및 스트레인 매개 변수의 특성은 표 2 에 나와 있습니다 . 정상 대조군과 달리 CA 및 HCM 환자는 세 방향 모두에서 더 낮은 RVEF 및 RV 변형률 매개변수를 나타냈습니다(모두 < 0.05). RVEF 및 RV 균주 결과와 유사하게 CA의 RVT(7.8 ± 2.1 vs 4.0 ± 1.1, < 0.001) 및 HCM 환자(5.9 ± 1.3 vs 4.0 ± 1.1, < 0.001)는 모두 건강한 대조군보다 유의하게 높았습니다. . 더 중요한 것은 CA 환자의 RVT가 더 높았고(7.8 ± 2.1 vs 5.9 ± 1.3, < 0.001), RV-GRPS가 더 낮았고(12.1 ± 6.9 vs 23.5 ± 12.1, < 0.001), RV-GCPS(-3.4 ± 2.2 vs -5.6)였습니다. HCM 환자보다 ± 3.5, < 0.001) 및 RV-GLPS (-4.6 ± 2.3 대 -11.1 ± 4.9, < 0.001).
또한, RVEF가 보존된 HCM 및 CA 환자의 경우 RV 방사형(15.7 ± 6.3 vs 25.0 ± 9.4, < 0.001), 원주 방향(-3.3 ± 1.7 vs -6.0 ± 3.7, < 0.001) 및 세로 방향(-5.5 ± 1.5) 대 11.5 ± 3.5, < 0.001) CA 환자의 얼룩은 HCM 환자보다 유의하게 감소했습니다. 또한 CA 환자의 RVT도 HCM 환자의 RVT보다 두꺼웠습니다(7.5 ± 2.1 vs 5.6 ± 1.4, < 0.001)(표 3 ).
표 4 에 나타난 바와 같이 , RV 비대는 CA 환자 42명(70%)과 HCM 환자 23명(38%)에서 나타났습니다. RV 비대증 환자에서 CA 환자는 RVEF(38.3 ± 15.7 대 49.1 ± 14.5, = 0.002), RVT(8.7 ± 1.5 대 7.0 ± 0.8, = 0.001), RV-GRPS(10.5 ± 6.6 대 22.8 ± 11.9)가 상당히 낮았습니다. , < 0.001), RV-GCPS (-3.1 ± 2.2 vs -6.4 ± 4.2, < 0.001) 및 RV-GLPS (-4.1 ± 2.1 vs -11.5 ± 5.1, < 0.001) HCM 환자보다. 마찬가지로, RV 비대가 없는 CA 환자는 RV 비대가 없는 HCM 환자보다 RV-GRPS(15.7 ± 6.1 대 23.9 ± 12.1, = 0.021) 및 RV-GLPS(-5.8 ± 2.4 대 -10.9 ± 4.8, < 0.001) 가 낮았습니다 . RVEF(49.9 ± 16.5 대 53.3 ± 12.7, = 0.102), RVT(5.5 ± 1.3 대 5.1 ± 1.0, = 0.120) 및 RV-GCPS(−3.4 ± 1.8 대 −5.1 ± 3.1, = 0.061 ) 에서는 차이가 발견되지 않았습니다. ) RV 비대가 없는 CA와 HCM 환자 사이.
3.3. CA 또는 HCM 탐지를 위한 진단 성능의 차이RV 매개변수의 진단 성능은 표 5 에 표시됩니다 . 민감도, 특이도, 곡선 아래 면적(AUC) 및 컷오프 값을 계산한 후 RVEF, RVT 및 RV 변형 매개변수를 포함한 RV 매개변수의 AUC가 0.68~0.92로 CA와 HCM을 구별하는 것으로 나타났습니다.
그림 2 는 CA 검출을 위한 RV 매개변수의 AUC 비교를 보여줍니다. 전반적으로 RV 매개변수, 특히 RVT와 결합된 RV-GLPS는 가장 큰 AUC(AUC 0.92, 95% CI 0.85–0.96, = 0.0001)와 균형 잡힌 높은 민감도(민감도 81.4%, 95% CI 69.1–90.3) 및 특이성을 나타냈습니다. (특이도 89.8%, 95% CI 79.2–96.1). 대조적으로, RVEF와 같은 전통적인 RV 매개변수는 낮은 진단 효율성을 나타냈습니다(AUC 0.68, 95% CI: 0.59~0.76, =0.0003). CA와 HCM을 구별하기 위한 다양한 RV 변형 지수의 수신기 작동 특성 곡선이 그림 3 에 나와 있습니다 .
그림 4 에서 볼 수 있듯이 모든 측정 결과의 차이의 평균%는 2.4 미만이며 대부분의 포인트가 95% 일관성 한계 내에 속합니다. 그 중 RV-GCPS의 내부관찰자, RV-GRPS, RV-GLPS의 내부관찰자의 모든 지점이 95% 일관성 한계 내에 속합니다. RV-GLPS의 관찰자 내 1개(3.3%) 지점이 95% 일관성 한계에 속하지 않았습니다. RV-GRPS와 RV-GCPS의 상호관찰자 중 2개(6.7%) 지점이 일관성 한계 95%에 속하지 않았습니다.
4. 토론
질병마다 예후와 치료 옵션이 크게 다르기 때문에 CA와 HCM의 구별은 임상 실습에서 항상 어려운 문제였습니다. 본 연구에서 우리는 CA 환자에서 RVT의 정도가 더 심했고 CMR-TT 기술에서 파생된 RV 변형이 HCM 환자보다 CA 환자에서 더 유의미한 감소를 보였다는 것을 발견했습니다. 우리는 RVT와 결합된 RV-GLPS가 CA와 HCM을 구별하는 데 가장 큰 진단 정확도(AUC = 0.92)를 보여 RV의 차이가 이 두 질병의 식별에 중요한 역할을 한다는 것을 보여주었습니다.
심장자기공명(CMR) 후기 가돌리늄 강화(LGE)는 CA 환자의 진단에 널리 적용됩니다. 또한 T1 매핑과 같은 다른 조직 특성화 기술(기본 및 세포외 부피 분율 측정 포함)도 CA 평가를 위한 유용한 도구입니다[ 18 ]. 그러나 다른 기계와 신부전으로 인해 CA 진단이 어렵습니다. Bellaviet al. RV의 도플러 심근 영상 측정은 RV가 진행된 CA 환자에서 더 심각하다고 판단했으며, RV의 도플러 심근 영상 측정은 CA 환자의 심장 기능의 조기 손상을 확인하거나 사망 위험을 계층화할 수 있음을 확인했습니다[19 ] . 도플러 심근 영상 외에도 일상적인 영화 영상을 기반으로 한 비조영 CMR-TT도 높은 공간 해상도로 다양한 질병으로 인한 심근 변형의 심각도를 평가하는 데 도움이 될 수 있습니다[ 11 , 20 – 23 ]. 최근 문헌에서도 CMR-TT가 가돌리늄 조영제 투여 없이 CA와 HCM을 구별하는 신뢰할 수 있는 방법임을 입증했습니다[ 24 ]. 그들의 연구에서는 LGE 패턴(0.994), LV GRPS(0.898) 및 GCPS(0.880)(모두 > 0.109)에 대한 AUC 간에 유의미한 차이가 없는 것으로 나타났습니다. 차이점은 LV의 변형을 비교한다는 것입니다. 그러나 우리는 RV의 변형을 비교했습니다. Reddy 등의 연구. [ 25 ] CMR은 GRPS(39.7 ± 3.5 대 13.6 ± 5.1), GCPS(-18.2 ± 1.5 대 -8.1)를 포함하여 CA 환자의 좌심실과 우심실 모두에 관련된 스트레인 및 스트레인 비율의 정확한 기능적 평가를 위한 강력한 도구가 될 수 있음을 입증했습니다. ± 1.7), LV 및 GRPS(-12.1 ± 1.6 대 -6.9 ± 1.2) 및 RV의 GLPS(-15.7 ± 2.1 대 -8.5 ± 1.4) 변형의 GLPS(-15.3 ± 0.9 대 -6.6 ± 1.4) . 그럼에도 불구하고 표본 크기는 5명에 불과하며, 대조군은 일반 사람들을 사용했습니다. 우리의 결과는 합리적인 사례를 통해 CA와 HCM 사이의 우심실 두께와 변형률의 차이를 처음으로 밝혔습니다. 조직 추적을 적용하면 LV와 RV 모두 CA의 기능 장애 과정에 대한 더 깊은 이해가 가능해졌습니다.
5. 제한 사항
우리 연구에는 몇 가지 제한 사항이 있습니다. 첫째, HCM의 분류가 수행되지 않았으므로 이러한 결과를 모든 HCM 환자에 적용할 때 약간의 편차가 발생할 수 있습니다. 그러나 좌심실 유출로 폐쇄 또는 심단 비대가 있는 CA와 HCM 환자 사이의 형태학적 차이를 고려할 때, 심실 중격 비대 또는 좌심실 자유벽 비대가 있는 환자는 CA를 진단하기가 특히 어려웠습니다. 따라서 심실 중격 비대 또는 좌심실 자유벽 비대가 있는 환자만 본 연구에 등록되었습니다. 둘째, 후기 가돌리늄 지연 강화, 매핑 또는 세포외 부피 서열과 같은 조직학의 변화를 평가하는 CMR 서열은 RV에서 어느 정도 식별하기 어렵기 때문에 본 연구에 포함되지 않았습니다.
6. 결론
유망한 방법으로 CMR 조직 추적은 무증상 RV 변형의 정량적 분석 및 조기 감지에 사용될 수 있습니다. CA 환자의 우심실 심근 두께와 변형은 HCM 환자보다 더 심했습니다. 가장 중요한 것은 RVT와 결합된 RV-GLPS가 가장 큰 AUC를 제시하고 CA와 HCM을 구별하기 위해 높은 민감도와 특이성의 균형을 유지했다는 것입니다.
데이터 가용성
이 연구 결과를 뒷받침하는 데 사용된 데이터는 요청 시 해당 저자에게 제공됩니다.
이해 상충
저자는 이해상충이 없음을 선언합니다.
저자의 기여
Hui Liu와 Peng Bai가 이 작업에 동등하게 기여했습니다.
감사의 말
이 작업은 중국 국립 자연과학 재단(82120108015), 사천 과학 기술 프로그램(2020YFS0050, 2020YJ0029 및 21ZDYF1967), 중앙 대학 기초 연구 기금(SCU2020D4132), 중국 심혈관 질환 학회 임상 연구 결과의 지원을 받았습니다. (CSC)(2019년)(번호 HFCSC2019B01), 우수 분야를 위한 135개 프로젝트, 쓰촨대학교 서중국병원(ZYGD18019), 우수 분야를 위한 135개 프로젝트, 쓰촨대학교 서중국병원(ZYGD18013).
참고자료
-
M. Gertz, R. Comenzo 및 R. Falk, "면역글로불린 경쇄 아밀로이드증(AL)의 장기 침범 및 치료 반응 정의: 아밀로이드 및 아밀로이드증에 관한 제10차 국제 심포지엄의 합의 의견", American Journal of Hematology , vol . 79, 아니. 4, pp. 319–328, 2010.
보기: Google 학술 검색
저작권
'생명공학' 카테고리의 다른 글
| 화학물질 및 생물검정 (0) | 2023.11.23 |
|---|---|
| 만성질 환자의 영양 관리 (2) | 2023.11.20 |
| 약한 출현에서 발생하는 강한 출현 (1) | 2023.10.28 |
| 의생명과학 대학원 (1) | 2023.09.22 |
| 존스홉킨스대학교 - 화학 및 분자 생물학, 박사 (0) | 2023.08.30 |











